LED Photobiomodulation Therapy for Abdomen Fat Reduction

Written by: Lumaflex

|

Published on

|

Time to read 4 min

Photobiomodulation on Fat

Non-invasive body contouring techniques are gaining popularity as alternatives to surgical procedures for localized fat reduction. Photobiomodulation therapy (PBMT) using light-emitting diodes (LEDs) has emerged as a promising approach, stimulating cellular metabolism and potentially inducing lipolysis. This study investigates the efficacy of LED PBMT, both as a standalone treatment and in combination with a thermogenic dermocosmetic, for reducing abdominal fat and improving body contour in women. Addressing a gap in existing literature that primarily focuses on lasers, this research explores the potential of LEDs as a safe and effective option.

Description

This study explores the potential of light-emitting diode (LED) photobiomodulation therapy (PBMT) as a non-invasive method for reducing localized abdominal fat and improving body contour. It investigates whether combining LED Photobiomodulation Therapy with a thermogenic dermocosmetic enhances these effects. The research addresses a gap in the literature, as previous studies have primarily focused on laser treatments for body contouring, with limited research on the efficacy of LEDs, either alone or in conjunction with topical treatments. The aim is to provide evidence supporting a safer alternative to invasive procedures.

Source

Summary: LED Photobiomodulation Therapy for Reducing Adipose Tissue in the Abdomen Region

Ninety sedentary women aged 30-45, with a BMI between 18.5 and 29.9 and skin folds above 1.5 cm, participated in the study. They were randomly assigned to one of three groups: a sham group receiving placebo LED treatment, a group treated with LED Photobiomodulation Therapy at 630 and 850 nm wavelengths, and a group treated with LED PBMT combined with a thermogenic dermocosmetic. The study used a mechanical stadiometer (model 110 CH; Welmy, SP, Brazil) for data weight and height. Then, the BMI calculation (kg/height m2) was performed. The perimetry was measured using a tape measure (RMC or Fiber). This measurement was performed on the abdominal circumference respecting the previously determined horizontal lines in the lower and upper abdomen. The study employed comprehensive data collection methods, including anthropometric measurements (weight, height, BMI, perimetry, and adipometry) and ultrasound imaging to evaluate adipose layer thickness. A patient satisfaction questionnaire was administered post-treatment to gauge participants' perceptions.


The research involved two groups: the Sham and active Photobiomodulation Therapy groups, using Antares equipment from IBRAMED, Brazil. Participants in the LG (Laser Group) and LDG (Laser with Dermocosmetic Group) were treated with both red LED (630 nm) and near-infrared LED (850 nm) from the Antares cluster device.


Key Details:

  • Treatment Frequency: Irradiations were conducted twice weekly, with a minimum 48-hour interval between sessions.
  • Total Sessions: Each participant underwent a total of 10 treatment sessions.
  • Treatment Areas: Four sites were designated for treatment—two in the lower abdomen and two in the upper abdomen. The left side was treated while the right side served as a control.
  • Preparation: Before treatment, the area was aseptically cleaned with 70% alcohol. LDG participants received additional exfoliation before treatment.

In the study, LDG (Laser with Dermocosmetic Group) participants were first subjected to an allergy test, in which a small amount of the dermocosmetic product was applied to a small area to check for allergic reactions or irritation. Once confirmed safe, the gel was applied during treatment sessions after the application of Photobiomodulation Therapy.


Key Treatment Steps:

  1. Allergy Test: Conducted before treatment to ensure no adverse reactions.
  2. PBMT Application: Participants received LED PBMT before further treatment steps.
  3. Area Cleaning: The treated area was cleaned with a cotton pad soaked in water and liquid soap (containing 2% Aloe Vera and 1% Hamamelis ) using circular movements.
  4. Exfoliation: The skin was exfoliated using a gel with 3% green microspheres .
  5. Dermocosmetic Application:A dermocosmetic formulated for measurement reduction properties was applied, containing:
    • Lypoxyn: 5%
    • Liporeductyl: 5%
    • Coheliss: 4%
    • Grape Seed Oil and 3% cream qsp.


The findings revealed that LED Photobiomodulation therapy alone reduced the adipose layer, as confirmed by both perimetry and ultrasound assessments. Histological analysis indicated increased fibroblasts and collagen deposition in the LED-treated groups. However, adding the dermocosmetic did not significantly improve fat reduction compared to LED Photobiomodulation Therapy alone. These results suggest that LED PBMT effectively alters the cellular bioenergetic state and initiates lipolysis.

Results

Portable Red Light Therapy in Exercise

Anthropometric Data

  • BMI & Adipometry: No statistically significant differences were observed between the Body Mass Index (BMI) or adipometry measurement groups.
  • Perimetry (Abdominal Circumference): Both the LED group (LG) and the LED with dermocosmetic group (LDG) showed a reduction in abdominal circumference compared to the sham group (SG) (p = 0.02). The LG showed a statistically significantly greater reduction than the LDG (p = 0.01).

Imaging Ultrasound Assessment

  • Right Supraumbilical Region: Significant reduction in adipose layer thickness in the LG and LDG compared to the SG, but no significant difference between LG and LDG.
  • Left Supraumbilical Region: Significant reduction in adipose layer thickness in the LG and LDG compared to the SG, but no significant difference between LG and LDG.
  • Right Infraumbilical Region: There was a significant reduction in adipose layer thickness in the LG and LDG compared to the SG. The LG showed a statistically significant greater reduction compared to the LDG.
  • Left Infraumbilical Region: Significant reduction in adipose layer thickness in the LG and LDG compared to the SG, but no significant difference between LG and LDG.

Satisfaction Rate

High satisfaction rates were reported across all groups: SG (88%), LG (91%), and LDG (92%).

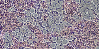
Histological Analysis

Collagen and Fibroblasts

  • LG showed the highest number of fibroblasts compared to SG (statistically significant).
  • LG showed a statistically significant increase in collagen compared to SG. No significant difference in collagen was found between LG and LDG.

Adipose Cells and Inflammatory Response:

  • The macrophages CD68+ was increased significantly in the LG compared to the other evaluated groups.
  • LDG presented a significant increase in inflammatory cells when compared to SG

Conclusion

In conclusion, the study demonstrates that LED Photobiomodulation Therapy, combining red and infrared wavelengths, is a safe and effective non-invasive technique for reducing abdominal fat and improving body contour. The treatment facilitates the mobilization of fat content within adipocytes, leading to measurable reductions in abdominal circumference.


While the addition of a thermogenic dermocosmetic did not enhance the lipolytic effects of LED Photobiomodulatio Therapy in this study, the standalone efficacy of LED PBMT suggests its potential as a valuable tool in aesthetic practices. The study contributes to the growing body of evidence supporting light-based therapies for body contouring. It highlights the potential of LEDs as a cost-effective and durable alternative to lasers. Further research is warranted to explore the optimal parameters and long-term effects of LED Photobiomodulation Therapy for localized fat reduction.